Ein Zeitfenster vor 400 Mio. Jahren
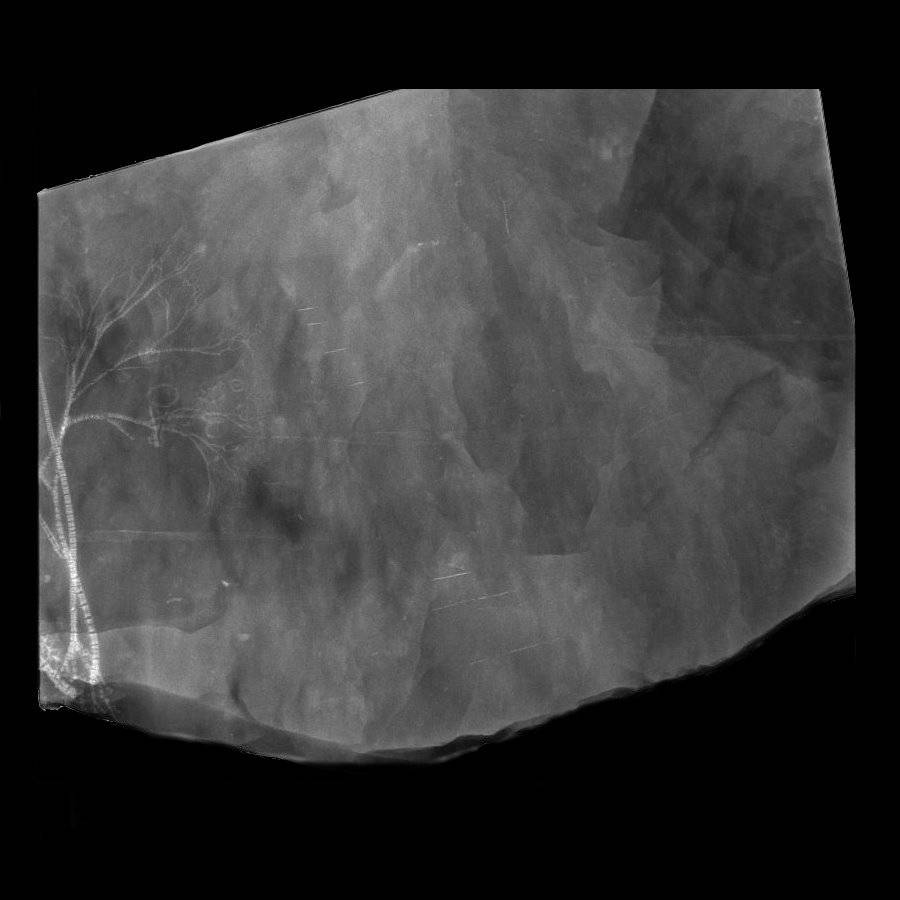
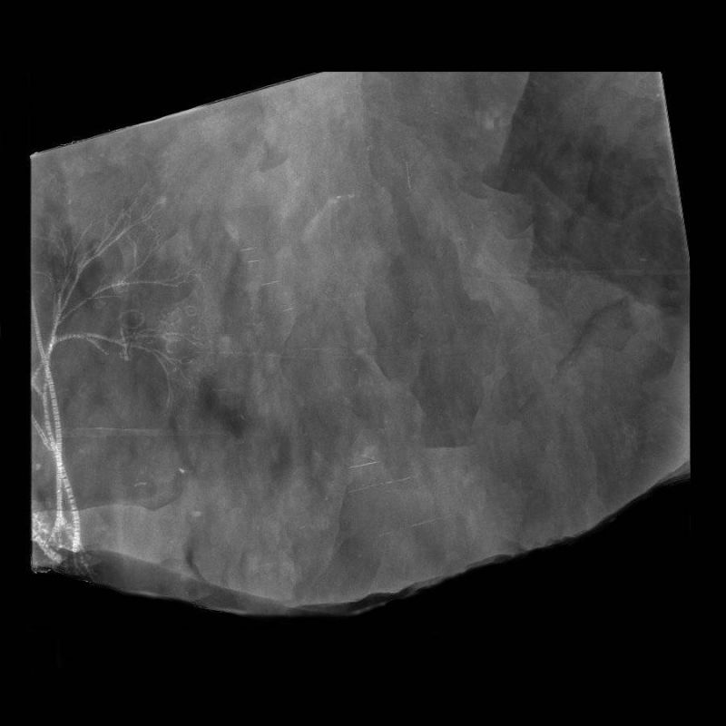
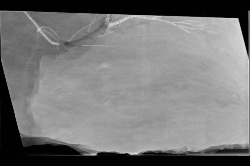
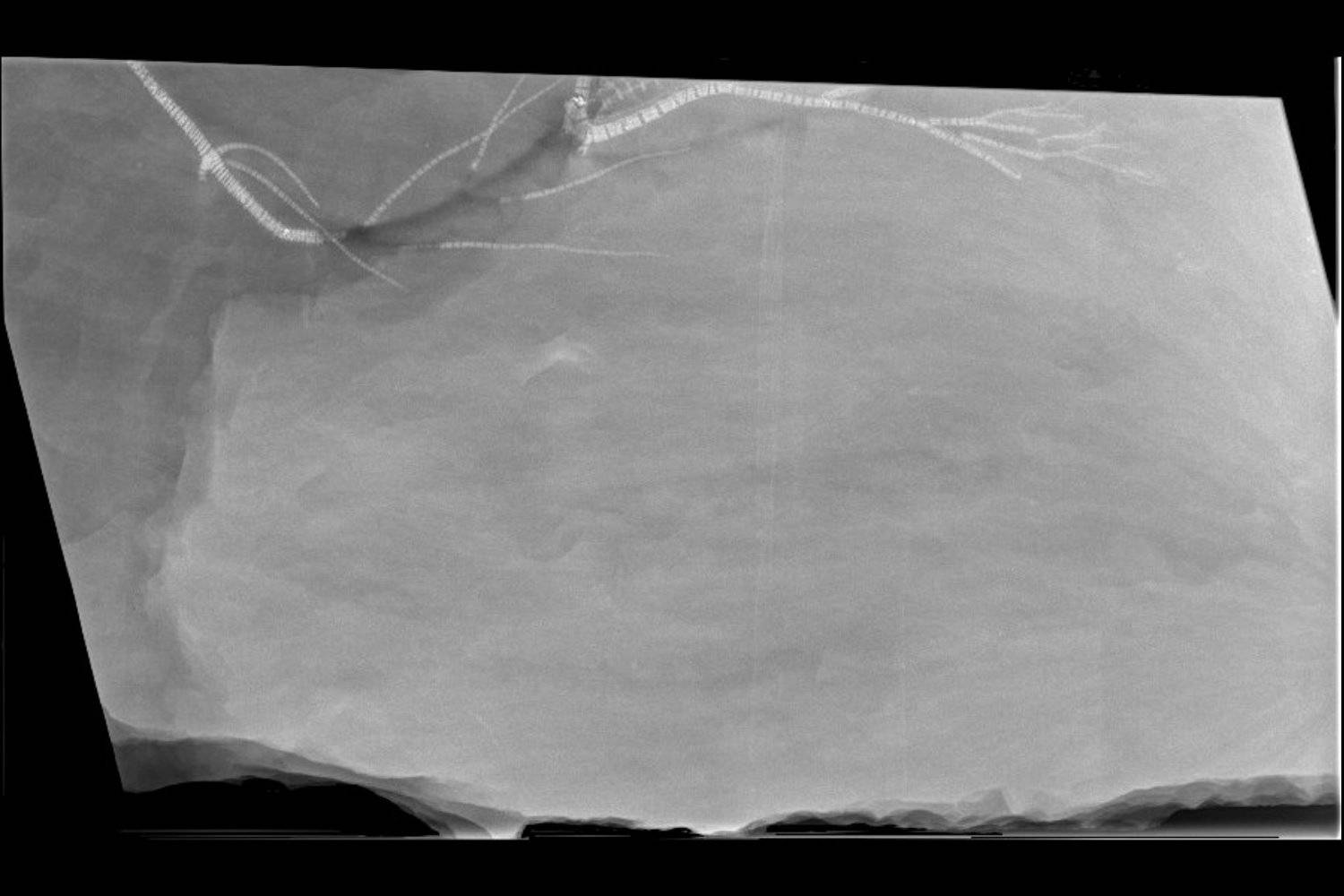
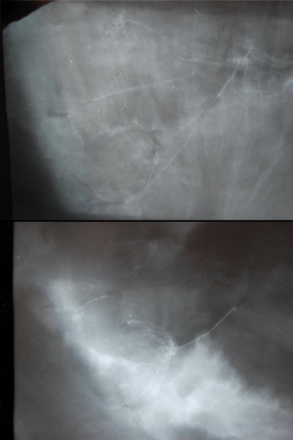
Vor der Präparation ist es angeraten, eine Röntgenaufnahme anzufertigen, die nicht nur die genaue Lage des Fossils und dessen Strukturen im Gestein erkennen lässt, sondern oft auch zusätzlich im Gestein verborgene weitere Fossilien. Erstmals von Richter 1929 beschrieben, führte die systematische Anwendung dieser Methode zu der bahnbrechenden Arbeit von Stürmer ab 1980, welche von Blind 1986 fortgeführt wurde.
Die Fossilien müssen mechanisch aus dem umgebenden Schiefer freigelegt werden. Den Einsatz von Messingbürsten hat bereits Opitz 1932 entschieden abgelehnt und stattdessen auf den Einsatz von Spatel und Nadel verwiesen, anbei ein Auszug. Das komplette Standardwerk finden Sie hier.
 
                
            Opitz Ausführungen zur Präparation haben unverändert Gültigkeit. Leider fand die bequeme, aber das Fossil nachhaltig beschädigende Messingbürste noch lange Zeit Anhänger.
Seit 1980 haben Strahlgeräte, vorzugsweise mit Eisenpulver und einer Korngröße bis 40 µm, bei der Präparation (fast aller Fossilien) Einzug gehalten und die Verwendung von Nadeln und Feinschabern verdrängt. Dieser in Mode geratenen Methode werden in wissenschaftlichen Publikationen bis in jüngste Zeit die besten Resultate zugeschrieben.
Eigene langjährige Erfahrungen und diejenigen ausgewiesener Könner auf diesem Gebiet kommen dagegen zu der Einschätzung, dass die altmodische Präparation nach Opitz mit einem anteiligen Aufwand von geschätzt 95% in Kombination mit einem Finishing mittels Strahlen den Fossilien mit ihren Feinstrukturen am besten gerecht wird.
 
                    
                 
                    
                Links: Schaupräparation anlässlich des Museumstages 2024 im Landesmuseum Birkenfeld. Rechts: Feinpräparation mittels Binokular.
Besondere Anforderung stellen phosphatisierte Fossilien, so oftmals bei Fischen aus Bundenbach anzutreffen. Das Fossilien-Journal berichtet (2023-02) von meiner erfolgreichen Anwendung einer chemisch-mechanischen Präparation. Nachfolgend ein Auszug des Beitrags von Wouter Südkamp:
Beachtliche Präparationen von Fischen
Phosphatisierung kommt auch bei voluminösen Kieferlosen (Agnathen) und Panzerfischen (Placodermen) vor, so bei Drepanaspis gemuendenensis und dem rochenähnlichen Bodenbewohner Gemuendina stuertzi. Den Rumpf dieser Tiere ist laut Gross oft mit einer harten, schwarzen, fladenartigen Gesteinsschicht bedeckt, welche die Präparation weitgehend verhindert. Trotz der Phosphatisierung hat eine Verdrückung und Verzerrung der Proportionen der fossilen Fische stattgefunden. Als Beispiele bildete er die Bauchseiten eines 16cm langen Drepanaspis aus dem Bad Kreuznacher Museum (Gross 1963a, Taf. 9, Fig. 2) und das Münchener Exemplar (Inv. Nr. 1961 I 115) von Gemuendina (Gross 1963b, Taf. 6) ab. Meines Wissens berichtete bisher niemand darüber, ob es probiert wurde oder sogar gelungen ist, die konkretionäre Phosphatsubstanz zu entfernen. Der Tübinger Geologe und Bundenbach-Sammler Christoph Leins hat dies aber zuerst bei einem Exemplar von Drepanaspis (8A) und danach bei Gemuendina in einem mühsamen Verfahren geschafft (pers. Mitt. Leins 2021). Der komplette Drepanaspis wurde in ca. 38 Arbeitsstunden nachpräpariert, wobei der schwarze Überzug mit Kaliumhydroxyd (KOH) behandelt wurde. KOH ist als starke Base ätzend. Die vorherigen Versuche mit Nadeln, Skalpell und Strahler waren nicht erfolgversprechend und ein Versuch an einer Stelle mit der Lauge in Plättchenform verursachte jedenfalls keinen Schaden am Fossil. Ein aufgeträufelter Ring aus Wachs sollte zum Schutz der bereits fertig präparierten Stellen sorgen (8B). Das Wachs dichtete aber nicht komplett ab, weshalb es von der Lauge unterwandert wurde. Auch ein Versuch mit Salz außerhalb des Wachsrings scheiterte. Die endgültige Lösung war, die Laugenplättchen ohne Wachsring, Salz etc. aufzubringen und eine Ausbreitung der Lauge durch Papiertaschentücher weitgehend zu unterbinden (8C). Um sicherzustellen, dass sich die Lauge nicht über feine natürliche Risse verteilt und unbemerkt Schaden anrichtet, wurden entsprechende Bereiche wiederholt mit Acrylatkleber abgedichtet (8D). Der Effekt dieser wiederholenden Laugenbehandlungen zeigte sich jeweils mikroskopisch nach anschließenden Strahlvorgängen. Unzureichendes Wässern ergab nach dem Trocknen zwei Problemzonen mit weißen Ausblühungen. Eine Wässerung in einem Bach über eine Woche schloss sich an, ohne weitere Auffälligkeiten nach erneutem Trocknen. Das Präparationsergebnis machte nun Plattenstrukturen sichtbar, die zuvor vom schwarzen Überzug verdeckt waren (8E).
 
            
        Besonders freue ich mich darüber, als Präparator die wissenschaftliche Bearbeitung von Bundenbach-Fossilien unterstützen zu dürfen.
Nachfolgende Bildgalerie zeigt am Beispiel von Seelilien eine Auswahl meiner Präparate und deren Werdegang.
Eine Auswahl 
schönster Stücke
Eine in Vergessenheit geratene Fertigkeit
Bilder alter Zeiten und Wissenschaft
In eigener Sache:
Fossiliengesuch